Scan Coach FATE App Print
Modified on: Thu, 3 Jun, 2021 at 3:39 AM
Disclaimer: The information herein is not intended to replace the product’s User Manual. Please consult the User Manual for comprehensive information and cautionary guidance about the product’s operation and use.
The Scan Coach module for Focused Assessment Transthoracic Echo (FATE) provides a protocol of standard ultrasound imaging views and context-based reference materials to perform a systematic FATE exam.
During the exam, users will have access to a reference ultrasound image of normal anatomy and examples of common pathologies for each scan plane.
It provides 3D animations to help remind the user the relationship of probe positioning with resulting ultrasound images and annotated schematics for anatomical landmarks help acquire desired views.
The steps overview page provides a checklist of views defined by the protocol to track completion during the exam.
User instructions at the beginning of every step provide information related to the specific view and can be deactivated if not needed.
The protocol and images have been provided by Professor Erik Sloth, Aarhus University, Denmark.
NOTE: Read the app description and the Disclaimer before installing the Scan Coach FATE protocol.NOTE: * Applications under GE Marketplace are available as options (not available in all geographies).Scan Coach FATE protocol
During the exam, users can access examples of reference ultrasound images of normal anatomy and some common pathologies for individual scan planes.
Animations are available to demonstrate the relationship of the probe position with the resulting ultrasound image. Annotated schematics with anatomical landmarks provide additional reference.
A protocol step status provides a checklist of views defined by the protocol to track completion during the exam. User instructions at the beginning of every step provide information related to the specific view.
Scan Coach FATE settings
- Press Start a protocol from the Menu screen.
- Press Scan Coach FATE protocol settings icon to choose the desired settings.

Scan Coach FATE settings
Click the desired checkboxes to set up the system to your preferences:
- Soft key hints - shows user instructions hints for this protocol
- User instructions - shows instruction for the particular step
- Steps overview page - displays the list of steps for the FATE protocol prior to the exam as listed in Table below
Step Number | Description |
1) | Pos 1 : Subcostal 4-Ch |
2) | Pos 1: Subcostal Vena Cava |
3) | Pos 2 : Apical 4-Ch |
4) | Pos 3: Parasternal Long Axis |
5) | Pos 3: Parasternal LV Short Axis |
6) | Pos 4L : Left Pleura |
7) | Pos 4R : Right Pleura |
List of Steps
Using Scan Coach FATE app
1. Press Menu -> Start a protocol. Select the Scan Coach FATE protocol from the protocol page.
2. Press START button on the Steps Overview screen to start the protocol.
OR
Press a step name on the Steps Overview screen to start the protocol from that step
Steps overview
3. User Instructions message box displays for the step.
4. Press OK on the message box to navigate to the scan screen.
NOTE: The Steps Overview screen and User instructions display only if you have enabled them from the settings. If not enabled, the protocol goes directly to the first step after selecting Start a protocol from the Menu page.

User instructions
The live scan screen displays the following interface elements for the current protocol:

Interface elements
1. Current step name - displays the step text. For example, Parasternal Long - B mode
2. Step number - displays previous (for example 2), current (3) and next step numbers (4)
3. Info icon - invokes Scan Coach help windows for current step
5. Press the Info (i’) icon to access Scan Coach reference help for the current step.
Scan Coach reference window displays with three tabs - Reference, Position and Steps.
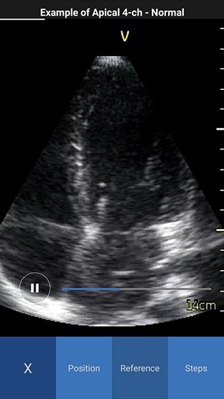
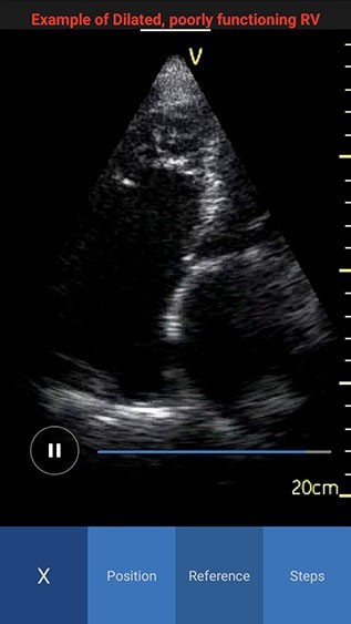
- Reference - Provides access to multiple ultrasound image examples for normal view and a few common pathologies for the current scan plane. You can access all available reference images swiping left or right.
NOTE: By default the reference image tab is activated when you press the info icon for the first time. The white color in the image header represents an example of a normal image, while red color represents an example of a pathology image.

Reference Image Normal

Reference Image Pathology
NOTE: When you toggle between Scan Coach window and the live scan screen, the system remembers and displays the last seen Scan Coach tab.
- Position - Provides access to animations showing probe position with schematic representation and annotation of the corresponding reference images for the current scan plane. You can access multiple animations for the step through the gallery.

Position
- Steps - checklist of all steps showing the completion status for each step.
NOTE: A green dot next to the thumbnail of the saved image indicates the completion status of the step.
Steps
6. Press
button to exit the Scan Coach windows and Steps to go back to the scan screen.
You can access Scan Coach reference content from the following screens:
- 2D or Color mode - live scan screen
- 2D or Color mode - frozen image screen
- Measurement screen
7. Once you acquire an image for the current step, press Store.
The stored image shows the current step name.
The red dot next to the step turns green on the Steps Overview page.
8. Enter the storage PIN when you store the image for the first time.
NOTE: A device PIN has to be created for security purposes to access or store images/ videos. This PIN is created prior to the first use or after the system has been reset. Once the PIN is set, the user is prompted for the PIN when: • Images/videos are stored in the spooler • User wishes to store an image/video • The session duration time has expired
NOTE: You can store multiple images for a particular scan plane, if needed. All the images are annotated with the step name.9. Swipe right to left to navigate to the next step.
10. Complete the acquisition procedure described above. Follow the same procedure for the remaining steps in the protocol.
NOTE: You can swipe right to left to go to the next step, without storing an image, if you wish. In such a case, the step does not get registered as complete. You will see a red icon next to the image in the Session Completed screen.
11. After you complete acquisition for all the steps, a message displays - Moving to session summary.
Press OK.
Session completed screen displays.

Session complete
12. Check the status of the steps on the Session Completed screen.
13. You could navigate directly to an incomplete step to acquire a missing view or you can Exit Protocol if the scan is complete.
14. Press Exit on the Confirmation Pop-up message to quit the protocol.
OR
Press Cancel to update captures.
NOTE: If you wish to stop the protocol anytime in the middle of a scan, press the Menu icon on the header. Press “Stop current protocol” to exit.
Stop protocol
Did you find it helpful? Yes No
Send feedback