LVivo EF App Print
Modified on: Thu, 3 Jun, 2021 at 4:38 AM
Disclaimer: The information herein is not intended to replace the product’s User Manual. Please consult the User Manual for comprehensive information and cautionary guidance about the product’s operation and use.
The LVivo EF app enables an automated edge detection of left myocardial wall and calculates end-systolic, end-diastolic left ventricular volumes and ejection fraction using apical 4-chamber views.
This app has been developed by and licensed from DiA Imaging Analysis Ltd.
The LVivo EF app uses only a single plane (apical 4- chamber) view to calculate Ejection Fraction (EF). The app automatically selects the frame with maximal volume (ED) and minimal volume (ES) from a single cardiac cycle and uses them for EF calculation. The Ejection Fraction value is calculated using Modified Simpson’s method for the left ventricle.
The app is a tool to be used by clinicians that have received training and are qualified to use ultrasound for cardiac function evaluation. The results obtained are recommended to be used adjunctively with other clinical information like medical history, physical exam and other investigations and not as a sole source of information for guiding patient management decisions.
The range and accuracy of the EF, EDV and ESV values obtained with the LVivo EF app are available in the additional information section below.
NOTE: * Applications under GE Marketplace are available as options (not available in all geographies).NOTE: The LVivo EF app is not intended for pediatric cardiology and is not intended to be used for pediatric patients.Using LVivo EF app
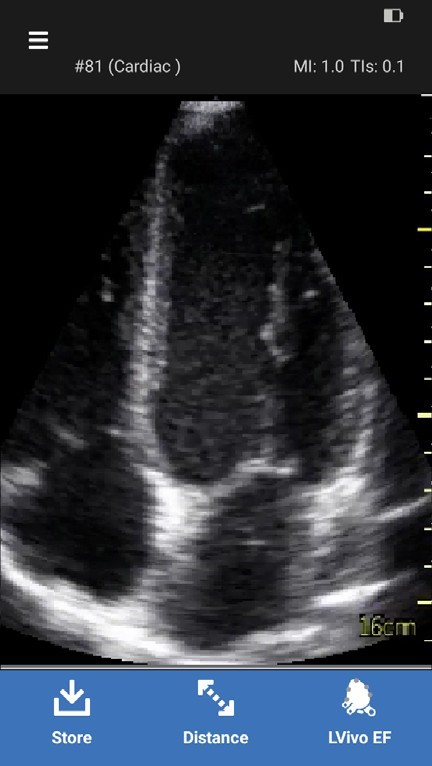
1. Scan the heart in apical 4 chamber view using the Cardiac preset.
NOTE: The LVivo EF app can only be used with the sector probe using the Cardiac preset.2. Adjust the image to see an optimized left ventricle.
To obtain a proper EF measurement, follow the below guidelines
- Length of at least 1.5 beats.
- Septal alignment - The interventricular septum should be parallel to the image plane and endocardial border.
- Endocardial visualization – At least 2/3 of the endocardium should be visualized.
- Depth - Proportion of left ventricle (LV) to left atrium (LA) will be 2/3-1/3 (Optimum depth will be 14-18 cm).
- Avoid foreshortening of the apex.

LVivo EF measurement guideline
3. Freeze the 4 chamber view immediately after visualizing the heart cycle to be measured.

LVivo EF app
4. Press LVivo EF icon to start the calculation.

LVivo EF measurement
- Border
- Measurement results
- Accept & Store button
- Close button
5. LVivo EF app automatically traces the LV contours and draws a border around it.
6. End-Diastolic Volume (EDV), End-Systolic Volume (ESV) and Ejection Fraction (EF) values are calculated and displayed on the screen.
7. Press “Accept and store” to save the cine clip with measurement results.
8. Press Close button to quit LVivo EF app.
9. Error conditions – Error messages will be displayed instead of border tracing and calculations under the following conditions:
- If a complete heart cycle with end-diastolic and end-systolic frames is not detected.
Length of cycle or clip orientation not optimal. Retry. - If Image quality is not optimal for the app to track at least 2/3 of the endocardial borders.
Image quality not optimal. Retry. - If the left ventricle proportion is not correct or mitral valve could not be identified correctly.
Optimize depth. - If the lateral / septal walls of the left ventricle are not seen in the field of view or the apex is not visible.
Image quality or depth not optimal. Retry. - If the end diastolic and end systolic volumes are not in the valid range. Expected range –
EDV valid range: 60 <= EDV <= 240 ESV valid range: 15 <= ESV <= 140 Image quality or depth not optimal. Retry. - If the ejection fraction is not in the valid range. Expected range –
EF valid range: 20<= EF <= 80
Image quality or length of cycle not optimal. Retry.
Additional reference information
Accuracy for EF and volumes has been determined by comparing the results obtained by LVivo EF to an average of readings obtained by manual tracing of the same clip by 4 expert sonographers. The manual measurements were performed on the Echo PAC clinical workstation using Mod. Simpson's method for single plane.
Measurement/ Calculation |
Accuracy |
Range |
EF | +/- 15 percentage points with -3 percentage points bias | 20-80 percent |
EDV | +/- 35 ml | 60-240 ml |
ESV | +/- 35 ml | 15-140 ml |
LVivo EF measurement accuracy values
Did you find it helpful? Yes No
Send feedback